X-quang nha giúp nha sĩ xác định xem bệnh nhân có răng bị sâu răng (sâu răng) bệnh nha chu (nướu răng), áp-xe hay những sinh trưởng bất thường,chẳng hạn như khối u hoặc u nang. Chúng cũng cho thấy vị trí và tình trạng của răng bị ảnh hưởng hoặc chưa bộc phát.
Khi khám trong miệng, nha sỹ nghi ngờ có những vấn đề mà không thể thấy bằng cách khám.
Do những tổn thương có thể nằm ở những cấu trúc sâu bên trong răng, xương như là:
1. Nhiễm trùng ở thân răng hoặc chân răng
2. Những sâu răng giữa răng hoặc dưới chỗ trám cũ
3. Những bất thường phát triển trong xương
4. Tiêu xương quanh chân răng
NHA SỸ THƯỜNG CHỤP PHIM X-QUANG GÌ?
Tuỳ theo mục đích khảo sát, các loại phim x-quang sau đây được chỉ định:
1. Phim quanh chóp (periapical): khảo sát chân răng và xương quanh chân răng
2. Phim cắn cánh (bite-wing): khảo sát thân răng và xương quanh vùng cổ răng
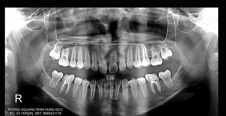
3. Phim toàn cảnh (panoramic): Khảo sát toàn bộ răng và xương hàm cả hàm trên và hàm dưới
4. Phim mặt nghiêng (profile, cephalometric): khảo sát tương quan xương hàm và sọ
5. Phim cone-beam CT: Khảo sát 3 chiều (hình khối) các cấu trúc xương và răng
CHỤP PHIM X-QUANG NHA KHOA NHIỄM BAO NHIÊU BỨC XẠ?
Theo tiêu chuẩn của EPA (United States Environmental Protection Agency):
Một người Mỹ hằng năm chịu bức xạ nền (bao gồm tất cả các bức xạ môi trường sống) là 6.2 mSv milisievert).
Theo IADA (International Atomic Energy Agency), liều bức xạ nhiễm khi chụp x-quang nha khoa:
1. Phim quanh chóp và cắn cánh nhiễm 1–8 μSv (microsievert) = 0.001 – 0.008 mSv (milisievert)
2. Phim toàn cảnh 4-30 μSv = 0.004 – 0.03mSv
3. Phim mặt nghiêng 2-3 μSv = 0.002 – 0.003 mSv
4. Phim cone-beam CT: 50 μSv – 100 μSv (tuỳ theo độ rộng chùm tia) = 0.05 – 0.1 mSv
Theo công thức 1 milisievert = 1000 microsievert
Có thể suy ra:
Một năm có thể chụp:
* 6.200 giảm đến 775 phim quanh chóp hoặc phim cắn cánh
* 1.500 giảm đến 206 phim toàn cảnh
* 3.100 giảm đến 2.066 phim mặt nghiêng
* 124 giảm đến 62 phim cone-beam CT
KẾT LUẬN
1. Nếu chụp phim x-quang quanh chóp, cắn cánh hay mặt nghiêng thì lượng bức xạ nhiễm thấp hơn lượng bức xạ tự nhiên của một ngày.
2. Nếu chụp phim x-quang toàn cảnh thì lượng bức xạ nhiễm chỉ bằng lượng bức xạ tự nhiên của một vài ngày.
3. Nếu chụp phim cone-beam CT có vẻ nhiễm nhiều hơn nhưng cũng không đáng ngại.
Để hiểu rõ vấn đề này, có thể so với lượng phong bức xạ trung bình (bức xạ xảy ra trong môi trường chung quanh) một người bị tiếp cận trong một năm.Trung bình toàn thế giới là 2400 microSv một năm
LƯU Ý: Thai phụ có thể chụp phim x-quang nha khoa không?
Trong hội nghị Sản-Phụ Khoa Mỹ (The American Congress of Obstetricians and Gynecologists) mới đây đã khuyên rằng: Nếu trì hoãn các điều trị nha khoa bao gồm cả chụp phim x-quang nha khoa có thể làm cho diễn tiến bệnh trở nên nghiêm trọng hơn (như nhiễm trùng nặng).

Trả lời